マイクロスコープを使用した精密治療
Microscope
歯科診療は細かい部位の細かい作業の連続です。小さなむし歯を削ったり、歯の中の神経を除去したり、とても肉眼では捉えきれないレベル
です。
マイクロスコープを使うことにより、肉眼では見ることができなかった細部を確認し、より正確な診断と繊細な治療を行うことができます。
初台デンタルオフィスでは治療精度を高めるために、マイクロスコープを活用して、治療部位を拡大視しながら処置する精密治療をご提供し
ます。

専門知識豊富な
院長による治療
その悩みを当院で解決できるかもしれません。
当院では数多くのトレーニングを受けた院長が、海外の専門医基準の設備・エビデンスを元に適切なプロセスで歯髄保存治療、根管治療を行っております。
マイクロスコープとは
肉眼では見えないものを3倍から20倍までに拡大し、観察することができる歯科用顕微鏡です。日本の施設における普及率は3%と言われています。
従来は、見えない部分については、歯科医師の経験や勘によって治療していましたが、マイクロスコープの登場により、患部を拡大してみることができるため、安全にかつ正確に高度な治療をすることが可能になりました。
マイクロスコープを
使用するメリット
メリット1.
治療の精度が高まる



肉眼では捉えきれない部位も拡大視しながら処置できるので、経験や勘に頼ることなく精密な診断や治療が可能です。
これまでは難しいとされていた症例も、マイクロスコープで拡大視することにより対応できるようになってきたことで、治療の可能性が広がりました。
(左:肉眼、右:マイクロ使用)
(上:肉眼、下:マイクロ使用)
メリット2.
患者さんの負担を軽減する
むし歯や歯石の取り残しをなくし、必要以上に健康な歯質を削ることも防げるので患者さんの健康維持につながります。また治療時間の短縮にもつながるので、患者さんの負担を軽減させることができます。
メリット3.
治療中の状況をモニターで確認できる
歯科治療の状況は、患者様にとっては非常にわかりにくいものです。マイクロスコープを使用しての治療では、モニターを通して状況を確認することができるだけでなく、写真や動画で記録できるため、後から確認しながら、ご説明させていただくこともできます。
マイクロスコープを使った
2つの精密治療
Microscope 1. 歯髄保存治療

いわゆる歯の神経は歯科の専門用語では「歯髄」といい、その歯髄を残すために行う治療を「歯髄保存治療」といいます。歯髄には神経やたくさんの血管があり、歯の健康に大きな役割を果たしています。
歯髄を取ってしまうと歯は枯れ木のようになり、折れやすくなってしまいます。そのため歯髄をできるだけ残すことは、歯の長期的な健康にとってとても重要です。
以前は歯髄に達するような大きな虫歯ができてしまった場合や怪我をして歯が折れてしまい歯髄が露出してしまった場合には歯髄を除去しなければいけませんでしたが、現在は「歯髄保存治療」の技術や材料も向上し、従来に比べ安定した成功率が得られるようになってきました。
ただ技術的にはとても難易度が高く、この治療を行えば誰でも歯髄を残せるというわけではありません。
歯髄を残すために重要な3つのポイント
徹底的な感染源(虫歯)の除去
まずは感染源となる虫歯を徹底的に除去することから始まります。ここで重要なのはできる限り虫歯の部分だけを削り、健康な歯の部分を保存することです。そのためには非常に精密な手技が必要になりますが、ただでさえ小さい歯の中でそれを肉眼で達成することは難しく、対象物を最大20倍までに拡大することができるマイクロスコープを使うことが必要になります。
この歯の歯髄が残せるかどうかの診断
大きな虫歯を除去した後に、その歯髄を残せるかどうかを判断することが非常に重要です。
かなり弱っているもしくはすでに死んでしまっている歯髄を残しても、侵入してしまっている細菌によりいずれ根の先が膿んでしまい、痛みや腫れを引き起こすことになるため、何でもかんでも歯髄を残すことが正解ではありません。そのためその歯髄を残すことが長期的な安定に繋がりそうか判断することが非常に大切になります。
精度の高い詰め物・被せ物による
しっかりとした封鎖

歯髄を残すことができても、詰め物・被せ物の精度が悪ければ、歯の中に細菌が侵入し、歯髄にまた悪影響を及ぼす可能性が高くなります。それを防ぐためには精度の高い詰め物・被せ物を入れ、細菌が侵入できない状況を保つことが非常に重要です。
歯髄保存治療の症例
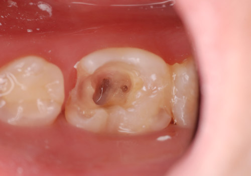
Case1. 右上の奥歯が痛い
| 治療前の写真 | 治療後の写真 |
|---|---|
![]() |
![]() |
![]() |
![]() |
経過
![]() |
![]() |
![]() |
![]() |
![]() |
![]() |
![]() |
![]() |
| 主訴 | 右上の奥歯が痛い。 |
|---|---|
| 治療期間 | 3回 |
| 治療費 | 85,000円(税別) (歯髄保存治療30,000円+セラミックインレー55,000円) |
| 治療内容 | 痛みのある右上の一番奥歯には、レントゲンで歯の神経のかなり近くまで達する虫歯が確認できました。 虫歯を除去したところ歯の神経が一部露出しましたが、保存できる状態であると判断し、ラバーダム防湿を行いMTAセメントによる歯髄保存治療を行いました。 次の予約に際に痛みが出ていないことを確認できたので型取りを行い、セラミックインレーによる修復を行いました。 |
| 治療のリスク | 将来的に歯の神経が炎症を起こし痛みが出る、また弱って死んでしまうことにより根管治療が必要になる可能性があります。 |
2. 精密根管治療

歯髄保存が不可能なほどの深い虫歯や歯の破折、過去に治療した部位の再発などの様々な理由で、歯の神経の治療をすることを「根管治療」といいます。
根管治療は建物で例えると、一番重要な基礎工事にあたります。どんなに見た目が綺麗な被せ物でも基礎工事がきちんとできていなければ、将来痛みや腫れを起こし、やり直しになってしまいます。そのため歯の長期的な安定のためには根管治療はとても重要な治療になります。
根管治療は日々一般的に行われている治療のため簡単な処置と思われがちですが、歯の根の中は非常に複雑な形をしているため、じつはとても難しい治療なのです。
当院では数多くのトレーニングを受けた院長の元、海外の専門医基準の設備、エビデンスの中で適切なプロセスで根管治療を行っております。
精密で安全な治療のために、ラバーダム防湿による無菌的な環境での処置はもちろんのこと、マイクロスコープやCTといった最新の設備、機材を使用しながら治療を進めていきます。
マイクロスコープ
マイクロスコープを使用することで小さな歯の根の中に光を通すことができ、さらに20倍以上の拡大視野の中で歯の細かい凹凸や歯の根の状態を細かい部分まで確認することができます。
また診査・診断の段階でもマイクロスコープを用いています。そのため、原因の特定を行う際、肉眼で行うものと比較して、より適切な処置が可能です。長い間続く症状の原因を特定できる場合もあります。
歯科用CT(CBCT)
マイクロスコープで大きく拡大して鮮明に歯の中を見ることができても、3次元的な根の形態などは、想像するしかありません。ここでCTが重要な役割を果たします。
CTは2次元の通常のレントゲンと違い、立体的にあらゆる方向から確認することが可能です。根の管がどの方向に曲がっているかということや以前の治療で見逃している隠れた根の管の存在などを把握することが可能です。
このマイクロスコープ、歯科用CTを両方使うことで、今までわからなかった問題や見えなかった感染源に対してアプローチすることが可能となり、根管治療の精度を格段に上げることが可能になり
ます。
ラバーダム防湿
マイクロスコープやCTなどの最新機材が揃っていれば根管治療が成功するわけではなく、可能な限り無菌的な環境で治療を行うことが最も重要です。そのためにはラバーダムという、歯にゴムのマスクをかけ、細菌が多いお口の中から治療する歯を隔離する方法が必要です。
ラバーダム防湿をすることで治療する歯を細菌から守るとともに、強い消毒薬、器具などがお口の中にこぼれたり、落ちたりすることもなくなり、非常に安全に治療を進めることが可能となります。
精密根管治療の流れ
Precision root canal treatment① 診査診断
現在の症状や病態の記録、レントゲン撮影やCTなどの画像検査を行い、総合的に診査診断を行います。また必要に応じ、被せ物や虫歯の除去を行い、ひび割れの有無の確認を行います。
十分な説明相談の上、治療介入にご納得されましたら治療開始になります。
② ラバーダム防湿

ラバーダムというゴムのマスクで治療する歯だけが見えるように隔離させます。無菌的な治療環境を整えます。
③ 根管形成・根管洗浄
歯の神経が通る管の汚れや異物の除去を行い、管の形態を適切に整え、薬液を用いた歯の内部の洗浄を徹底的行います。
④ 根管充填
痛みなどの症状がなくなり、歯の内部や歯の根の周囲の状態が適切になったと判断できれば、速やかに歯の神経の管を材料で埋めて封鎖します。
⑤ 被せ物・詰め物
根管の治療が完了したら、被せ物や詰め物で歯の形態を回復させます。
このような高度な知識や技術、設備を用いることで、以前では残すことが難しいと考えられていた歯を保存することが可能になってきました。
マイクロスコープを使用することで治療の精度が上がり、他院で抜歯と言われた歯でも、まだ何とか残すことができるかもしれません。
なかなか症状が改善しない、他の歯科医院でで抜歯と言われたなど、お困りの事がありましたらぜひご相談ください。
根管治療の症例
Case1. 右下の歯が咬むと痛い
| 治療前の写真 | 治療後の写真 |
|---|---|
![]() |
![]() |
![]() |
![]() |
経過
![]() |
![]() |
![]() |
![]() |
![]() |
![]() |
| 主訴 | 右下の歯が咬むと痛い |
|---|---|
| 治療期間 | 6回(約3ヶ月) |
| 治療費 | 105,000円(税別) (ファーバーコア20,000円+セラミッククラウン85,000円)+根管治療(保険診療) |
| 治療内容 | 右下の前から5番目の銀歯の歯茎に瘻孔という膿の出口が確認できます。 レントゲンでは根っこの先が黒く抜けており、膿が溜まっている状態でした。また歯の神経の管が1つ治療がされていないように見えます。被せ物と中の土台を外したところ大きな虫歯が確認できました。徹底的に虫歯を除去し、ラバーダム防湿下で根管治療を行いました。 術後のレントゲンで黒い影が小さくなっている、また治療前にあった歯茎の瘻孔が消失したことが確認できたため、ファイバーコアによって土台を作り、セラミッククラウンによる被せ物を装着致しました。 |
| 治療のリスク | 歯の根っこの先の膿が再発する可能性、根っこが割れてしまう可能性があります。 |
Case2. 右下の奥歯が痛い
| 治療前の写真 | 治療後の写真 |
|---|---|
![]() |
![]() |
経過
![]() |
![]() |
![]() |
![]() |
![]() |
| 主訴 | 右下の奥歯が痛い |
|---|---|
| 治療期間 | 5回(約3ヶ月) |
| 治療費 | 13,5000円(税別) (ファーバーコア20,000円+ジルコニアクラウン115,000円) +根管治療(保険診療)+根管治療(保険診療) |
| 治療内容 | 他院で右下第一大臼歯の虫歯の治療を行ったものの、痛みが取れないということで来院されました。来院時は仮詰めの状態で、仮詰めを外したところ、神経が死んでしまっており、根管治療が必要な状態でした。 残存している虫歯を除去し、ラバーダム防湿下で根管治療を行いました。症状が消失したことを確認し根管充填を行いました。その後ファイバーコアによって土台を作り、ジルコニアクラウンによる被せ物を装着致しました。 |
| 治療のリスク | 将来的に歯の根っこの先に膿ができる可能性、根っこが割れてしまう可能性があります。 |
Case3.左下の銀歯を白くしたい
| 治療前の写真 | 治療後の写真 |
|---|---|
![]() |
![]() |
![]() |
![]() |
経過
![]() |
![]() |
![]() |
![]() |
![]() |
![]() |
![]() |
![]() |
![]() |
| 主訴 | 左下の銀歯を白くしたい |
|---|---|
| 治療期間 | 5回(約3ヶ月)×2本 |
| 治療費 | 105,000円(税別) (ファーバーコア20,000円+セラミッククラウン85,000円)+根管治療(保険診療) ×2本 |
| 治療内容 | 左下第一および第二大臼歯の銀歯を白くしたいということで来院されました。両歯ともに前医での根管治療にやや不備がありましたので根管治療から行うこととしました。被せ物と土台を外したところ虫歯が認められましたので、虫歯を除去し、ラバーダム防湿下で根管治療を行いました。 マイクロスコープ下で根管内がきれいになったことを確認し根管充填を行いました。その後ファイバーコアによって土台を作り、セラミッククラウンによる被せ物を装着致しました。 |
| 治療のリスク | 将来的に歯の根っこの先に膿ができる可能性、根っこが割れてしまう可能性があります。 |
Case4.右上の虫歯を治したい
| 治療前の写真 | 治療後の写真 |
|---|---|
![]() |
![]() |
![]() |
![]() |
経過
![]() |
![]() |
![]() |
![]() |
![]() |
| 主訴 | 右上の虫歯を治したい |
|---|---|
| 治療期間 | 5回(約3ヶ月) |
| 治療費 | 105,000円(税別) (ファーバーコア20,000円+セラミッククラウン85,000円)+根管治療(保険診療) |
| 治療内容 | 右上第一小臼歯の虫歯を治したいということで来院されました。レントゲン上で前医での根管治療にやや不備が認められましたので根管治療から行うこととしました。被せ物と土台を外したところ虫歯が認められましたので、虫歯を除去し、ラバーダム防湿下で根管治療を行いました。 マイクロスコープ下で根管内がきれいになったことを確認し根管充填を行いました。その後ファイバーコアによって土台を作り、セラミッククラウンによる被せ物を装着致しました。 |
| 治療のリスク | 将来的に歯の根っこの先に膿ができる可能性、根っこが割れてしまう可能性があります。 |




































































